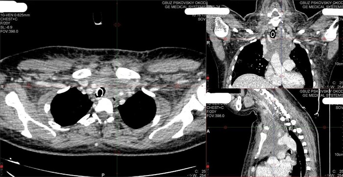
В Псковский областной клинический онкологический диспансер обратилась 21-летняя пациентка в тяжёлом состоянии с жалобами на затрудненное дыхание и одутловатость лица. Причиной стало опухолевое поражение лимфоузлов средостения, которые, превратившись в большой конгломерат с кулак, сдавили трахею пациентки и верхнюю полую вену – очень важный крупный сосуд в грудной клетке. Об этом Интернет-порталу ВЛуки.ру рассказали в пресс-службе Комитета по здравоохранению Псковской области.

Пациентке нужно было провести биопсию, так как назначить специфическое лечение возможно только после гистологического подтверждения диагноза злокачественной опухоли. Но опухоль располагалась в очень сложном для доступа и опасном месте – в грудной клетке, в средостении, охватывая жизненно важные органы.
Отправить молодую девушку в федеральные центры за пределы области не было возможности из-за ее тяжелого состояния, и псковские онкологи приняли решения оперировать в онкодиспансере.
Пациентке была выполнена биопсия опухоли через минидоступ (процедура Чемберлена) и в скорейшие сроки проведено исследование опухоли. Благодаря уровню и квалификации всех служб Псковского онкодиспансера удалось быстро и точно установить диагноз - лимфома.
Девушке начали своевременное лечение и спасли жизнь. Оперирующий врач в условиях запредельного отека шеи сумел выполнить трахеостомию и обеспечить доступ для вентиляции сдавленных опухолью дыхательных путей.
Сейчас пациентка на пути к выздоровлению, чувствует себя хорошо.
Лимфома – это злокачественная опухоль, диффузно поражающая лимфатическую систему организма, которая может возникнуть в любой области, где существуют компоненты лимфатической системы – лимфоузлы, селезенка, костный мозг, тимус или вилочковая железа, миндалины, органы пищеварительного тракта.
Оснащение Псковского областного клинического онкологического диспансера современным оборудованием и укрепление кадрового потенциала осуществляется в рамках национального проекта «Здравоохранение».










Комментарии
Еще никто не прокомментировал
Станьте первым!
Для того чтобы оставлять комментарии необходимо зарегистрироваться или авторизоваться